Imágenes cardiológicas

Nuestras especialidades
IMMI cuenta con un servicio de Imágenes Cardiológicas, orientado a brindar estudios de alta precisión para el diagnóstico y seguimiento de enfermedades del corazón. Equipado con tecnología de última generación y respaldado por un equipo médico especializado, este espacio reafirma nuestro compromiso con la excelencia en la atención médica y la innovación diagnóstica..
El área de Imágenes Cardiológicas realiza estudios tanto en forma ambulatoria como en pacientes internados.
Entre los estudios que se ofrecen, se incluyen:

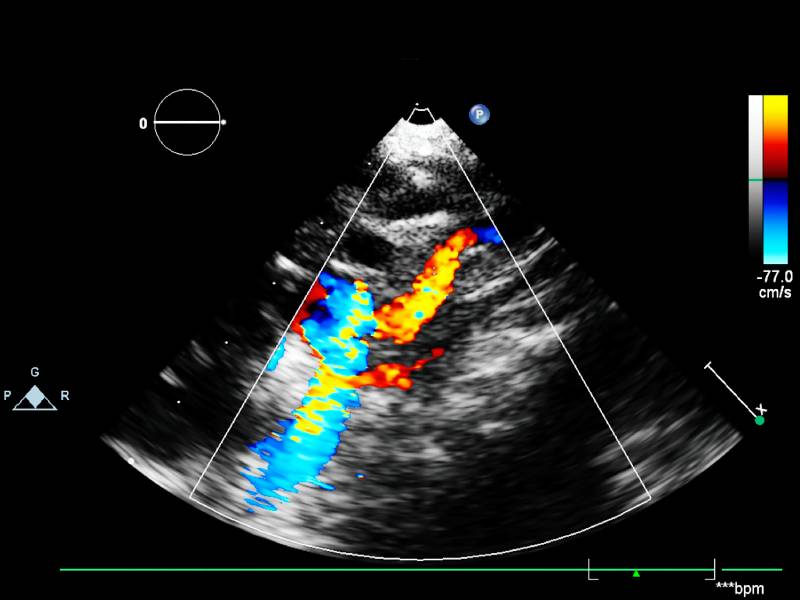
Ecocardiograma Doppler Color
El cual consiste en realizar una evaluación anatómica y funcional del corazón. Además, permite visualizar flujos sanguíneos, válvulas, cavidades, contractilidad.

Ecocardiograma de Estrés
Este estudio consiste en realizar esfuerzo físico o farmacológico (dobutamina). La función de este estudio es detectar isquemia miocárdica y viabilidad.

Eco Doppler de otros territorios
Es un estudio de diagnóstico por ultrasonido Doppler que se realiza fuera del corazón, y se utiliza para evaluar el flujo sanguíneo en vasos periféricos (arterias y venas) en distintas partes del cuerpo. Es una herramienta clave en la evaluación vascular no invasiva.

ECC Holter
La función de este estudio es proveer un registro continuo de la actividad eléctrica del corazón. Es fundamental para la Detección de arritmias, bradicardias, pausas, FA paroxística.

MAPA (Monitoreo Ambulatorio de Presión Arterial)
Tiene la función de diagnosticar hipertensión arterial verdadera o enmascarada. Se realiza mediante una Medición automática de PA cada 15-30 min por 24 hs.
